Specialized Oral Surgery
Our Service
Surgical Procedures in Miami
We specialize in oral surgery procedures that restore dental health and improve your quality of life. Whether you need dental implants, surgical tooth extractions, or full dentures, our Miami-based team uses advanced techniques and equipment to ensure your experience is safe, precise, and comfortable. From diagnosis to recovery, we provide the personalized care and expert support you deserve to regain full confidence in your smile.
Implants
Dental implants provide a permanent and natural-looking solution for missing teeth. Surgically placed into the jawbone, implants act as a strong foundation for a custom crown, restoring both function and appearance. This multi-step process offers unmatched stability and is ideal for patients looking for long-term tooth replacement options near them.
Dentures and Partial Dentures
Dentures help replace missing teeth and support proper chewing, speaking, and facial structure. Full dentures replace all teeth, while partial dentures fill gaps when some natural teeth remain. Both options are removable and custom-made for comfort, function, and a natural appearance, requiring daily care and periodic adjustments.
Oral Surgery
Tooth Extractions
Tooth extractions are performed when a tooth is severely damaged or cannot be saved through restorative treatments. When necessary, extractions help protect surrounding teeth and overall oral health.
Wisdom Teeth Removal
Wisdom teeth often emerge misaligned and can cause crowding, discomfort, or damage to nearby teeth. Removing them helps prevent future complications involving the jawbone, nerves, and surrounding structures.
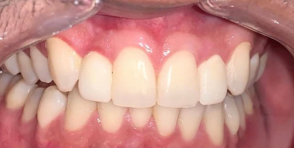
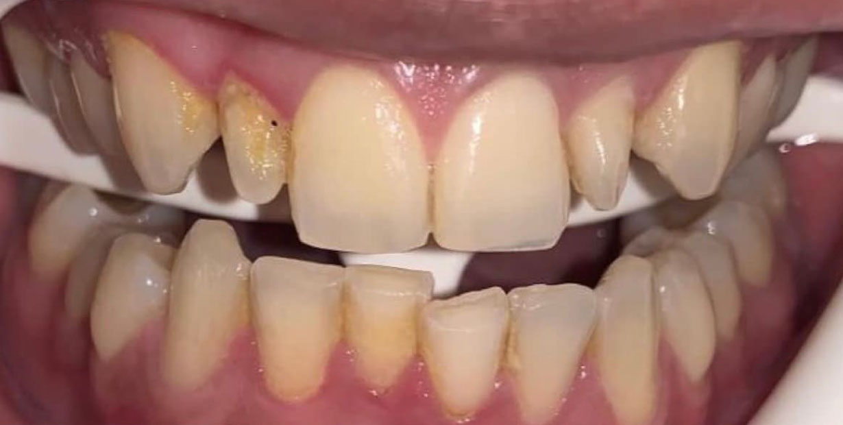
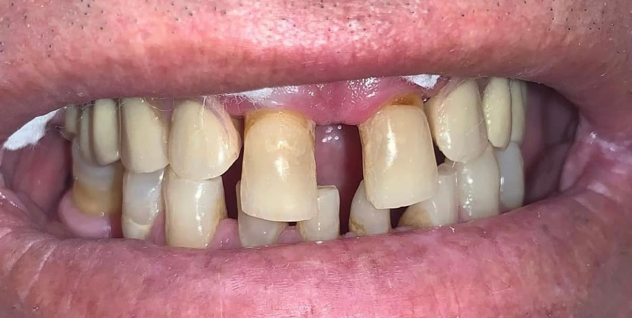
Surgical Dentistry Before & After Results
These before and after results demonstrate how advanced surgical dentistry can restore missing teeth, improve oral function, and create lasting, life-changing outcomes.
After
Before
Partial Dentures
Improved bite alignment and comfort while preserving natural teeth.
After
Before
Dental Implant
Restored or replace missing teeth for a natural-looking, functional smile.

