Dental Procedures in Miami
Transform Your Smile with Confidence
A confident smile can make all the difference, and at Almeida Dental, we’re here to help you achieve it with expert Miami cosmetic dentistry services. Whether you're looking to brighten your teeth, fix minor imperfections, or completely enhance your smile's alignment and shape, our cosmetic treatments are tailored to your goals. We specialize in professional teeth whitening, porcelain veneers, bonding, and Invisalign® clear aligners—each designed to improve both the appearance and health of your teeth. Our team uses advanced technology and a personalized approach to give you natural, radiant results that you'll love showing off.
Bonding
Veneers
Teeth Whitening
Orthodontics – Invisalign
Cosmetic Dentistry Smile Transformations
Each transformation below reflects a personalized cosmetic treatment designed to enhance smile aesthetics, improve confidence, and achieve natural-looking results.
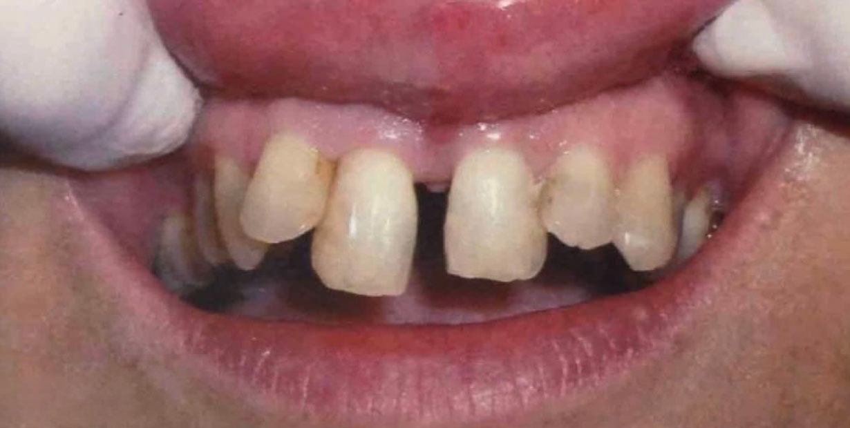
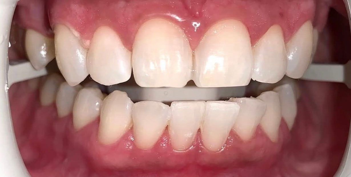
Veneers
Enhanced tooth shape, color, and symmetry for a more confident, natural-looking smile.
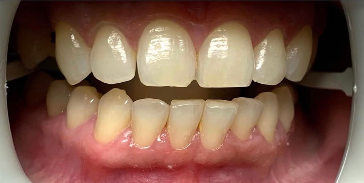
Veneers
Enhanced tooth shape, color, and symmetry for a more confident, natural-looking smile.
Teeth Whitening
Brightened and refreshed the smile by safely removing stains and discoloration.
Invisalign
Straightened teeth comfortably and discreetly with clear aligner treatment.

