Dental Procedure in Miami
Welcome to our comprehensive guide to dental procedures designed to help you understand the range of services available to restore your smile, improve oral health, and boost confidence. We offer compassionate, personalized treatments with modern techniques and gentle expertise.
Dentistry involves much more than treating discomfort — it’s about creating healthy, functional, and beautiful smiles through thoughtful procedures that support your well‑being today and for years to come.
Crowns
Bridges
Root Canal Treatment
Fillings
Prophylaxis (Dental Cleaning)
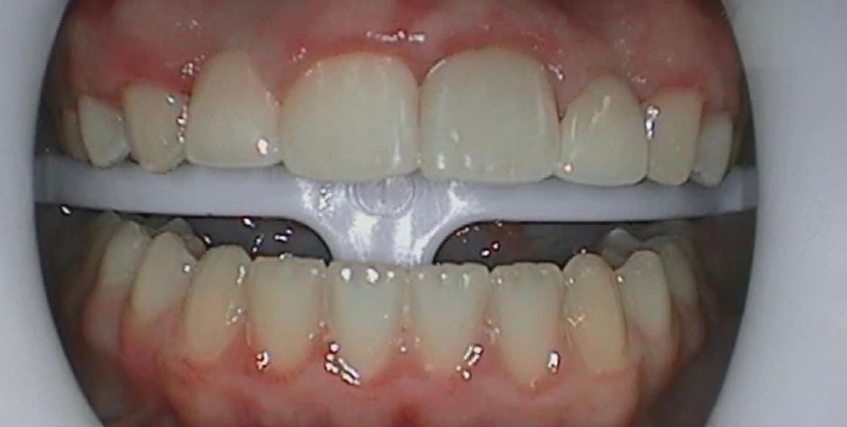
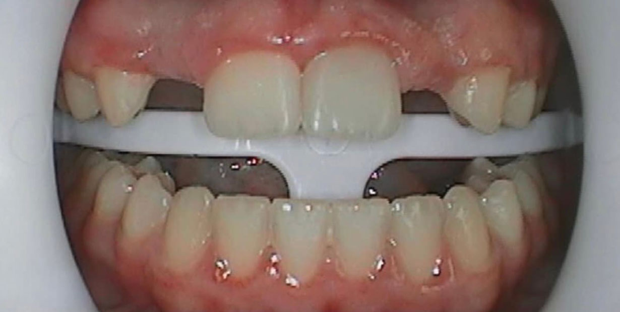
General Dentistry Before & After Results
These before and after images highlight real restorative results, showing how precise general dentistry treatments can strengthen teeth, restore function, and improve overall oral health
Dental Crown
Restored tooth strength, function, and appearance for a natural, long-lasting result.
Dental Crown
Improved tooth appearance and bite alignment while preserving long-term function.

